My fertility journey, miscarriage, donors, the long story written in 2023-2024
What did I want my 45th year of life to look like…heck the rest of my life?
In August of 2022, I spent my 45th birthday on a beach at a quiet resort in Mexico reading books, enjoying the spa, excursions to Mayan ruins, journaling, and reflecting on what I wanted my life to look like in my 45th year of life. I had a desire rise within me that I wanted to lean into, so I read a few books on the topic during that trip. In the months to follow, personal chaos would pursue within all the realms of my life. My HVAC system was shutting down, and mold and mildew were developing from the high humidity in my house; I was getting sick from work travel and coming home to breathe mold and mildew in my shower. My dog got sick multiple times, not life-threatening just multiple trips to figure out what was happening. My work life was transitioning with new team alignment, expectations, and pressures from my leadership. My doctoral program was heavy that semester with four reading and writing-intensive courses and balancing all the chaos I just mentioned, as a full-time student trying to finish coursework to move into the dissertation proposal phase. All the while my heart was stuck on an idea (moreover a major desire I had buried for decades) that I had processed over the summer on my birthday that I needed to move forward with soon. But I had no time. I had a small crisis after a small crisis in September – December 2022.
When the semester ended, the holidays began and concluded, and then the quiet slow moments came during that week between Christmas and New Year’s. I spent those days thinking and processing what I wanted to do about this heart’s desire that kept bubbling up. Make the appointment. Confirm with this newly added benefit {see post My experience: Fertility Insurance Coverage} the appointment to learn more is covered. Call. Done. Got my ID# and authorization. Learned more about the benefit plan for what is covered and not covered. Trying to understand all this new terminology of what I’m diving into.
On January 12, 2023, I had my first telehealth appointment with a very reputable physician, Dr. S. Highly recommended. Rave reviews online. Her biography online is impeccable. But she’s late. In fact, around 25 minutes late. I get perturbed because I’m a busy person and she has no idea what I moved around on my work calendar to have a doctor’s visit in the middle of my workday (don’t worry this mindset changes later). I log off the session really frustrated after emailing this nurse who tells me she’s running late due to emergencies. After 5 p.m. I see a phone call from this physician who calls to apologize, gives me a vague reason, and asks if I can log on for a telehealth appointment now. Well, luckily, I was home and available to do so. She goes through a long checklist of what is about to be a whirlwind journey. She rattles off a list of over-the-counter medicines to begin taking. Vitamin D. Calcium. Prenatal vitamins. We reviewed my current medications, conditions (asthma, allergies, sinuses, orthopedic issues), and last screenings (mammogram, GYN, etc.). She asks me why I’m still taking birth control pills if this is what I want. I respond with, “I have no idea other than that’s just what I’ve done for 20 years to keep the cycle regular. I do not have a partner. I have not had a partner in a very long time, nor a date!)”. She said please stop taking that prescription. I thought to myself, “Why didn’t I do this last year?” That’s kind of a no-brainer. My self-talk is not positive. I mentioned to Dr. S that I had been thinking of going off the pill for almost a decade. Then proceeds to tell me, “I wish you wouldn’t have waited”. Yikes, that stung, that sunk in and it was TRUTH. She mentions age protocols, bloodwork that’s needed, and an in-office procedure to learn more. That’s scheduled for February 2nd. We end the virtual visit and I process.
I began to pray and ask God why I waited so long. What was I afraid of? Why didn’t I feel ready 10 years ago or 5 years ago to start this journey? Heck, last year or during the pandemic? Why did she tell me she wished I wouldn’t have waited?
I began to research, read, and pray over the next few weeks before my important visit in February. My perspective begins to shift on all the things in life. As I start back my coursework for school. Reconvene work priorities for 2023 and prepare for big events and opportunities.
I began dreaming of the reality of how my life would shift with a child. With a newborn. I continued to read about Single Mothers by Choice (SMC). There is a whole community of single mothers who intentionally become moms without partners/spouses in their lives. Across the world. The book is enlightening and really helpful. Not every situation described in the book applies to me, but it’s a great perspective and builds understanding for the days that lie ahead. From daycare or in-home nannies to emergency or backup daycare, what about when I’m sick, who would take care of this dreamt-up child? I decided to put all those thoughts and worries in a box in a drawer and close the drawer (visually, an exercise from therapy). Because that is not what this step was about. This step was to determine my path to motherhood. The how.
My timing was unclear, but I was planning for spring 2024 if all things go as planned. Little did I realize that when one is in fertility treatment; everything is about timing, and it rarely goes as one had envisioned, planned, or hoped. So, I decided to start a journal to keep track of everything that is about to occur going through the fertility journey.
February 2, 2023, I had an ultrasound, bloodwork the week before, and my doctor’s visit. This however does not have a happy ending with talking to my siblings, because I did not have viable eggs to retrieve. I had waited too long. The dream of having a child with my genetics, at this stage in my life was gone. It was final. It was the end of that dream. I remember texting my sister and she called and we sat in silence and grief on the phone for minutes on end. My therapist later told me, that is exactly what you need and have to do – sit in the grief. So often, we move past the grief to a solution so fast, to try and “fix things” instead of grieve what’s lost or what we’ll never have. So I grieved…for weeks and still slightly do today.
I also began to reflect and actually get angry because why had my GYN providers back in Jackson, MS never EVER mentioned to me about retrieving and freezing my eggs when I was in my 20’s or my 30’s. Why is this? This should not be occurring. No matter what age you are, or marital status, a woman should know and learn about reproductive choices to preserve her egg production while they’re viable and know what options are available to do so. It should be a part of the conversation, routine wellness exams with your GYN. {I could RANT on this for days, but chose to let go and forgive and move on}
But as I heard from a close doctor friend who I saw that very same day for my another exam, and my IVF doctor, they both said: “There are many pathways to becoming a mom”. If you want to carry a child gestationally, you can if your body (uterus, ovaries, fallopian tubes, etc.) cooperates. And there’s adoption. You have options to become a mom. Do not give up.
Is my family supportive? This is a question I’ve been asked every time I tell a close friend or neighbor. In January, I shared with my siblings about my dreams. They were not expecting this conversation but were excited and supportive for me. Of course hesitant and concerned for me to do this by myself. And rightfully so. I talked to my parents a few weeks after that right before the egg and sperm fertilization occurred. They are supportive and have shown up for me in ways I’ll mention below.
In March 2023, I chose my egg donor and bought a lot of 6 eggs from an egg donor from DEB (Donor Egg Bank, USA). My copay would be $3,000. I bought 3 vials of sperm from California Cryobank. This was $5,875 cash, totally out of pocket, not covered by my insurance, because I wanted to save coverage for my embryo transfers. My fertility insurance covered a majority of the egg donor purchase and counted against one full cycle of the two I’m allotted by Progyny coverage {read more on insurance in my fertility insurance post}. I also had to pay for shipping of the vials and eggs. Around $300 each. Read more about how I chose my donors, on my post: {Choosing a Donor}.
In March 2023, I’m scheduled for an HSG – a histogram which is a “test run” so my doctor inserts a catheter with saline into the uterus and ensures the uterine lining is good, clear, no fibroids, looks at ovaries, etc. This test was easy but still uncomfortable. I “pass” 🙂 I don’t take this for granted, as I have several friends who have not passed, and had fallopian tube issues or ectopic pregnancies. This is another miracle for me.
There were many steps in between here, but I will spare the details. Essentially, I had to gain medical clearance from the following doctors: Cardiology (because of my age), Asthma/Allergy/Immunology (because of my asthma), Primary Care Physician (because of my age & the PCP should be in the know on all of your medical needs). However, the most meaningful one for me was the psychological exam talking with a fertility therapist and genetic counselor about my results from both donors. After speaking with this woman – she was AMAZING. She helped me figure out how to select donors that I wanted for my life and family unit. She gave me book recommendations to read for myself and to my child about having a donor. {see post Books for SMC and Children’s Books about donors}
The Fertilization process –Of those 6 eggs, 5 fertilized, 5 received PGTA (genetic testing), 3 came back normal (euploid) and 2 came back with a chromosome issue (high mosaic and aneuploid). The three embryos with normal genetic tests viable for transfer were 1 female and 2 males. The fertilization testing copay was $1,500.
July 5,2023– frozen embryo transfer (FET) day! You arrive with your bladder full and that’s how you start. Uncomfortable but anxious and excited. My mom came in town (photo below) to be with me through this process. We left with my empty pipette (photo below) from female embryo #1, and directions for the next few days and weeks. It was pretty simple! I had to be on “couch potato” duty for 2 days. No lifting, exercising, housework, etc.


I started medications to prep my body in June. You have a strict calendar with all medications listed, and additional medications added closer to embryo transfer day. Sometimes the medications go by time of day, so you have to be “home” or at a place to give yourself injections at that exact time. I remember giving myself injections in an airplane lavatory/bathroom a couple of times. Nineteen days of medications orally and injected. Belly bruised on both sides. Booty bruised on both sides with knots forming every day. And did I mention the needle is as long as my index finger. Pills that you swallow. Pills and creams that you insert. This is not for the weak. Photo for added dramatic effect.

*Trigger warning to readers: Pregnancy Loss*
August 2nd – the sonographer seems concerned. She says there’s nothing she can see in the gestational sac. So, the nurse educator consults on the findings and says either the fetus is measuring a week behind or did not develop past this week. And tells me to not worry but to continue treating my body as if I’m pregnant and wait until week 7 to determine what is occurring. I was by myself during this visit, thinking all was just routine and ok. It was not ok.
This week I spent praying continuously and worshiping day and night. Also, had to show up to work and act like all was well in my world. It was a WEIRD week. Like nothing else mattered. But somehow, I worked on my dissertation research application and had a productive work week. The distraction was welcomed.
August 9, 2023
This was a sad day. There was no fetus in the sac after several attempts and tries by the sonographer to find some visibility or viability. No baby. Pregnancy loss. Stop all medications. I had no idea this would be in my journey or path.
I started letting my close friends know who I had begun sharing my news with. There is definitely a reason why the “standard” is to wait until after the first trimester (3 months) to share your news. Looping back to each person with sadness, after joy and excitement is just hard. And exhausting.
My dad flew in to be with me over the weekend. The distraction was welcomed. I needed a lot of help around the house. We worked in the yard, well he did. We ran errands. We ate at some new restaurants. I returned baby girl clothes that I had bought from Target two weeks before. I would not be able to carry a girl embryo again, so no need to keep them.
August 13, 2023
My body started the miscarriage process that Sunday. The worst was Monday night, all night. I remember getting up at least 12 times as the gush of blood woke me up and I hurried to the bathroom each time. I was prescribed medication and didn’t think I would need it. But Monday night I certainly did. The pain is hard to describe to individuals who have not experienced a period or a miscarriage. The cramps are there but these are amplified. Like someone setting bricks or throwing bricks on your uterus. You know EXACTLY where your uterus is located during a miscarriage as well. The worst part lasted about 12 hours and for me, it was overnight, for which I’m grateful. I bled for 5 days. I called midweek to ask how long the process would last and my doctor asked the medical team to work me in that Friday. I was really impressed with the urgency she wanted to move with, to finalize the pregnancy loss process and ensure there was no tissue left so my body could begin to heal.
Again, I worked all week, showing up with my team and co-workers like I had nothing going on in life. I’ve learned how to compartmentalize mentally, which my therapist said is a healthy skill, if I deal with the thoughts, I put them in a box/drawer and not pack it away. But it was still very hard.
My mom flew in Thursday afternoon. My friend told me she was driving us to the medical facility, on Friday morning, no questions asked. That was such a tangible gift/blessing in hindsight. Take notes friends on how you can show up for people in hard times.
August 18, 2023
Two days before my 46th birthday. My D&C procedure was simple – hard choice of words to use considering but it was (I’ve had several orthopedic surgeries that are not simple). Get prepped and taken back. Sleepy juice and you’re out; wake up to a nurse helping you get dressed and telling you everything went well and go home to rest. My brain is used to waking up from surgery with an orthopedic issue needing rehab or PT. But this is different; it’s very sobering. I bleed for almost 14 days – why does the body process like this?
Another weird juxtaposition of feeling normal and physically okay, like I didn’t need surgery, but I did. A reminder to your body that you were just pregnant, and now you’re not. A weird mind-twist telling yourself, that was necessary. And to top it off, when the bills came in to pay for this hospital service that I didn’t want to experience in the first place, was a mind game. But, necessary for the healing journey to continue to seek a healthy pregnancy. Also, I’ll mention now, when I received the bill for the embryo transfer on July 2nd – my $750 copay. that was a hard bill to pay.
Days later I can zip up my size 10/12 jeans. That one hits differently also. And again, days later, I pack away the maternity athletic wear I ordered for winter in the corner of my closet. Maybe I’ll use you next season? Healthy compartmentalization.
As I continue writing this, I’m 46 now (August 20, 2023) and decided last minute to fly back to the resort outside of Cancun, Mexico where it is quiet and secluded. I like to retreat here because it is safe, quiet, slow-paced, high-quality food and accommodations. I have so much clarity to hear and hear my spiritual guidance from God so clearly hear, and the “unhurriedness” of life is the norm here. I use this time to type out this past year’s long story.
I ended up hearing from the Lord and journaling several things I was going to do differently next round. I decided to put this dream in a box, delicately placed it in a drawer, and sealed it until ready to pull out again.
Fast forward to the Fall 2023 and Spring 2024 semesters – I complete the hardest most stressful and most tedious part of my doctoral school journey – the DISSERTATION! I will spare you the details again of having to work, live life, be Lucy’s caretaker (HA), own and manage a home, be a friend and family member, and do this required school work, it’s just hard.
In October 2023, I did labs at my IVF clinic just to see where my blood work was and my estrogen level was almost non-existent. My doctor was like, NO! Not now. Whatever is going on in your world, it is not the right time to do another transfer. Place the idea/dream in a box, in a container, and store it away.
So, I continue to write, research, write, research, conduct my research with focus groups, and conduct interviews, run analysis, and continue to write. Day and night when I’m not working.
February 2024, I worked myself to the point of waking up a Saturday morning with chest pain, swollen ankles, and feeling like I might be dying. I get my amazing neighbor to walk Lucy and head to my local ER. Long story short – the workup included a heart scan, x-rays, DVT & PE are ruled out through tests, labs show that I have heart failure, and malnourished, and may have some auto-immune stuff. So ER doc released me as it was not life-threatening or heart-related but to see my PCP immediately.
I see my PCP, and she runs every auto-immune test and gets the results to tell me if she didn’t know me, or saw me, my bloodwork says I’m a malnourished patient in heart failure with underlying autoimmune conditions. GREAT! Now what – I then schedule to see a Rheumatologist (to check autoimmune conditions) and an Endocrinologist (to check thyroid).
At the time I see these doctors – I’m nearly finished with my dissertation defense so stress is still high. However, I test positive for Lupus, Hashimoto’s, and Anti-phospholipid Syndrome (APS). JUST GREAT! I see the thyroid doctor and he says I don’t have thyroid disease but stress and not eating right during this season has impacted my thyroid so if my labs come back clear after I graduate, I don’t need to see them.
In May 2024, I see my Rheumatologist after I graduate and my blood work is CLEAR! No thyroid disease, no lupus, no Hashimoto’s. Except another positive APS – which is a blood clotting disorder. She assures me that stress has impacted my body in a major way. But now that school was done, if I wanted to pick up IVF again, I needed to see a Hematologist for APS and have them all talk to each other (IVF doctor, rheumatology, hematology).
The good news was – for my IVF protocol being over 40 I was already going to be on Lovenox daily, which is a self-injection of 40 mg to prevent blood clots. And a low dose baby aspirin. That’s the easiest thing I have taken this whole journey
So beginning in June 2024, my IVF doctor started my protocol again. The labs are run, the medications are started, make sure I have good nutrition, exercise, sleep and stop anti-histamines (hard since I have allergies). Labs show things are on track, I start 9 medications: patches, multiple oral pills, 2 daily injections, vaginal inserts, and steroids, and I think that’s it. Embryo transfer is scheduled for the week of July 7 – 12. Friday, the 12th is ideal.
Hurricane BERYL hits Houston on July 8th. This canceled my embryo transfer since my clinic was operating on a generator. EXHALE.
I decided to book my graduation trip to the resort in Mexico and make a last-minute plan that ended up being very inexpensive since it was the rainy/hurricane season. I stayed for 2 nights, and 3 days, just long enough to process disappointment for a delayed transfer, but celebrate my accomplishment of finishing the doctoral program and getting a PhD (Doctorate in Public Health, technically a DrPH).

I began journaling that there had to be a reason/plan – to impact when my child was going to be born in the Spring, so I just trusted God for this delay. I hear from God clearly I am to name my child from the beginning of the process, so I can talk about him as if he existed, and when people pray they can call out his name and mine. So Oliver came to me and I liked it.
Treatment cycle #2 is published. Start over with certain meds, continuing certain meds. The embryo transfer is scheduled for August 2nd, 2024.
At this point I’m just rolling with whatever they say next, slightly tired, slightly over medications, but ready to try again and full of HOPE.
I go to the embryo transfer on the morning of August 2nd and on the way there, it’s the worst traffic like total interstate stop traffic, so I call the clinic to tell them I’m going to be late. I thought this was so dumb of me, but they told me not to worry, half their staff was also stuck in this, so I exhaled and slowed down. Find the side roads and navigate to the clinic to arrive at the exact time of the transfer start. Even though we’re just 15 minutes behind, it’s very calming, and peaceful, and I think to myself I need this peaceful start with this little boy beginning his life in my uterus. Such introspection in that moment of waiting.
My doctor comes in and preps me and the embryologist comes in confirming my name, DOB, and male embryo #2 (highest genetic rating of the 2 male embryos) with embryo glue (a new addition to this transfer cycle). And Dr. S does her thing and I see the screen to see where she inserts the embryo in my lining. The embryologist brought me the empty pipette thing that was holding my embryo in the cryopreservation machines. Dr. S then gets up, in a hand motion like a princess waving her wand to sprinkle the “baby dust” and says you’re pregnant, and laughs. But in a serious tone, says this one’s different. I can feel it.
I go home to be a couch potato, with my friend/neighbor helping me walk Lucy. A clean house from my cleaning team doing their thing. Lots of peace and rest. And medications, injections, repeat…
August 16th – pregnancy test positive
August 19th – telehealth visit to share next steps
August 22nd – blood work and labs to check HcG levels and all of that
September 5th – I have an ultrasound and bring a friend with me for this 6-week appointment. The one where last year I went by myself and heard the words, there’s no heartbeat or embryo detected. The ultrasound tech finds a gestational sac, and I hear a heartbeat of 153 bpm! My friend and I squeezed hands. By the way, the same friend who drove me and my mom to my D&C the year before. They project the due date of April 25, 2025, and I can’t even think that far ahead.
I asked Dr. S if I could travel to Geneva, Switzerland for the work trip where I was presenting at a global cancer conference (she had approved it over the summer) and she said yes, to take certain precautions but that I would be in week 9 and she trusted my body could handle it.
At this point, there are certain medications you stop and continue. Thankfully TSA knows people fly with medications, whether daily injections or whatever. That was the easiest part, getting my medicine through. The turbulence was rough, but I was able to lay down flat (thanks to me purchasing an upgrade to first class). The flight attendants were attentive and helpful. Luckily I just had some nausea but not vomiting at this point.
I had a rude awakening at the conference after my first day walking a half mile from the hotel to the conference center and all around the conference center back to the hotel. I started to bleed that night but it was old blood, not fresh blood. I emailed my doctor and asked about it. Also, I was traveling with a handful of gyn-onc (gynecology oncology doctors). One told me to rest and not worry and take it easy on day 2. That was exactly what my doctor emailed back as well. And to see my OB when I got back. I was able to take it easy, do my presentation, attend a few sessions then Uber back to the hotel where I rested and slept 10 hours before getting ready to fly home the next day. I was still spotting, but not bad at all.
I went in on September 20th for my final visit and to get checked post travel. This visit was a positive relief. I graduated from my IVF clinic that day. I had another amazing work friend, go with me for this appointment and see my ultrasound of the baby and hear his heartbeat. It was so special and I was elated.

September 26, 2025 – my first OB appointment
Back to the spotting, after getting worked into my OB, the ultrasound showed a sub-chorionic hematoma in the uterine lining near the gestational sac and it was trying to work itself out or it gets absorbed into the body. This was the reason for spotting old blood. Baby Oliver’s heart rate was 158 bpm at this visit!
She cleared me to continue working normally, and my work travels to Austin that week, then Philadelphia, then Minneapolis. All in October! It was a crazy busy month. But I had a great balance of listening to my body, knowing when to rest, and sleep, say no or yes to after-hours activities during these conferences. She clears my workout routine of cardio and strength training. I get referred to TX Children’s high-risk team for maternal-fetal medicine and a diabetes educator to prevent gestational diabetes.
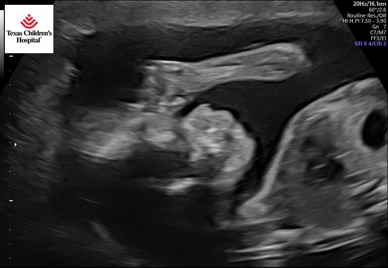
Here’s October 26th visit at 14 weeks.

I have to stop and Praise God who protected me all the way through this Fall as I traveled – no sicknesses, no bleeding, cramping, spotting. It was an amazing feeling every time I returned. The immunotherapy boost medication worked so I wasn’t getting my normal sickness after crowds, conferences, airplanes, and hotels. Mind you I wear masks on planes, in airports, and most of the time in crowded conference rooms. I am immune-compromised with my asthma, and now pregnant in my 40’s.
My symptoms in the first trimester were major fatigue and nausea all day. I learned how to eat small meals, and snacks throughout the day. After work was couch time and Lucy walks and bedtime at 8 or 830. I slept and I still sleep 9 hours to keep my energy levels up. Did I mention I gave up caffeine this time? No, you don’t have to, but I did. I was drinking way too much caffeine. It was interrupting my sleep patterns for the past few years. But now, I sleep like a champ, until I have to get up for the twice-nightly restroom visits.
If you have hung with me this long – WOW, Bless you. I’ll get to the good stuff with my 20-week anatomy scan. It was this past Monday, December 9th. Mom and Dad flew in Sunday night to go with me to that visit, and I aligned my OB visit that same day so they could meet her and see the hospital I would deliver.
Oliver’s anatomy scan was perfect for 20 weeks was perfect– all systems and organs are working and healthy. This I DO NOT TAKE FOR GRANTED! I am so grateful. And so excited. My parents being here for the day to see this hour long view of Oliver was sweet. We praised God for the journey, and His protection over me and Oliver. My faith-compass tells me He’ll walk us through the next 4 months.

My last appointment with a diabetes educator was yesterday and my bloodwork is normal – and I just have to keep doing what I’m doing. I am not ignorant to the risks of what can happen with Advanced Maternal Age pregnancies. I will do what I can to take care of myself and Oliver along the way with workouts, good nutrition, sleep, hydration, and maintaining and reducing stress in our environment.
As for Lucy (the dog) Cofer, she has definitely noticed things are changing. I will be posting on her Instagram as she begins to smell and lick my growing belly. But for now, she’s more of a watchdog and protector than ever. She lays at my bathroom door facing away from me guarding the entrance as if someone will enter the house at any moment. She sleeps on the couch facing my direction to keep an eye on me at all times. She is in every room I’m in when possible. I can’t wait to see how she adapts in the coming months and when baby Oliver arrives.
Thanks for reading my very personal, intimate, detailed journey with becoming a mom. I’m not clear or out of the woods yet. I have 4 months to go – 16 or 17 weeks. Prayers, or good vibes, whatever your jam is – send them my way. Oh and I broke out my winter maternity wear for this season. It was all meant to be.
I’m also open to all mindful, honest, curious questions from people. Message me via text, FB messenger, or IG message. I can share my experience with insurance coverage, donor donations, donor options, reputable cryobanks, SMBC, egg preservation, and embryo storage ($720/year for all embryos). I have learned a lot and definitely want to educate others on this process.
Especially if you are a 20/30-year-old female who knows now is not the right time for you to become a mom, but you might later in life – yes. Let’s talk! More to come on the story of baby Oliver, Jennifer and Lucy Cofer.